Periodontics
Healthy gums support and protect your teeth. Untreated gum disease not only leads to tooth loss but is also linked to heart disease, diabetes, and respiratory conditions. Periodontal care helps preserve natural teeth and improve overall health.
Periodontics Overview
Periodontics is a specialized branch of dentistry that focuses on the prevention, diagnosis, and treatment of diseases affecting the gums (gingiva), bone, and supporting structures of the teeth. Periodontists also specialize in dental implants and gum surgery.
What is Periodontal Disease?
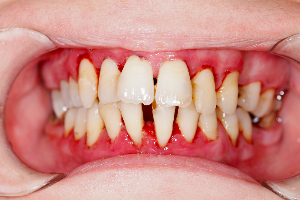
Periodontal disease, also known as gum disease, is an infection of the gums caused by plaque and bacteria buildup. If left untreated, it can lead to gum recession, bone loss, and tooth loss.
Types of Periodontal Disease
Gingivitis (Early Stage)
- Symptoms: Red, swollen gums that may bleed when brushing.
- Treatment: Improved oral hygiene, professional cleaning.
- Reversible: Yes, if treated early.
Periodontitis (Advanced Stage)
- Symptoms: Deep pockets form between teeth and gums, leading to bone loss.
- Treatment: Scaling and root planing, gum surgery, antibiotics.
- Reversible: No, but it can be controlled with treatment.
Causes of Periodontal Disease
- Poor oral hygiene – Not brushing and flossing properly allows plaque buildup.
✔ Smoking & tobacco use – Reduces the body’s ability to fight infection.
✔ Genetics – Some people are more prone to gum disease.
✔ Diabetes – High blood sugar can worsen gum infections.
✔ Hormonal changes – Pregnancy and menopause can make gums more sensitive.
✔ Medications – Some drugs cause dry mouth, increasing the risk of gum disease.
How to Prevent Gum Disease
- Brush twice a day with fluoride toothpaste.
- Floss daily to remove plaque between teeth.
- Use mouthwash to kill bacteria.
- Avoid smoking and eat a healthy diet.
- Visit the dentist regularly for cleanings and checkups.
Aftercare & Recovery
✔ Mild discomfort is normal for a few days.
✔ Avoid chewing hard foods until fully healed.
✔ Maintain good oral hygiene to prevent future infections.
Endodontic treatments help save natural teeth, prevent extractions, and restore a healthy smile. Would you like to know more about pain management or cost estimates?
Get In Touch With Us
Call us anytime
023 217 578 /
012 555 471
093 555 871
Email Us
brightsmileclinicbs1@gmail.com

